Cosmetic Dentistry
Experience a personalized approach to smile design
reveal the best version of your natural smile, enhancing harmony, balance, and radiance.
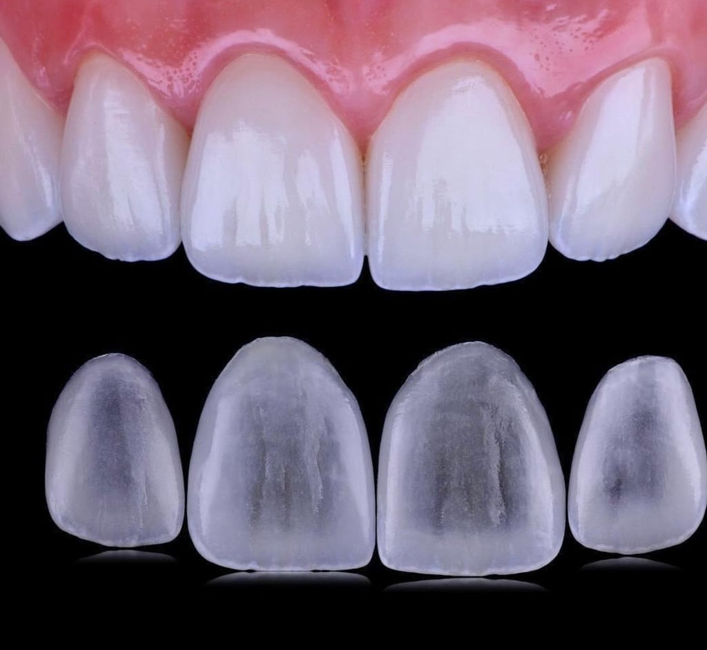
The Art of Cosmetic Dentistry
Every smile we design is unique. shaped by your facial features, personality, and aesthetic goals.
We combine advanced digital technology with a meticulous eye for artistry, ensuring results that feel effortless, natural, and enduring.






Cosmetic Dentistry
Why Cosmetic Dentistry?
At Vitamed, we understand that your smile is one of your most powerful features.
Cosmetic dentistry is more than just improving how your teeth look, it’s about restoring your confidence, creating harmony in your facial appearance, helping you feeling better every day,
Benefits of Cosmetic Dentistry
Boosted Confidence: Feel proud to show your smile in any situation.
Enhanced Oral Health: Some treatments also strengthen and protect your teeth.
Personalized Results: Every smile is unique — we tailor each plan to your needs.
Natural Beauty: Results designed to complement your facial features, not change them.
Long-Lasting Effects: High-quality materials and modern techniques ensure durability.
Book Your Consultation !
Ready to enhance your smile?
Schedule a consultation with Vitamed’s cosmetic dentistry experts and discover how small changes can make a big difference.
Let us design a personalized plan to help you achieve the smile you’ve always wanted — natural, bright, and full of confidence.
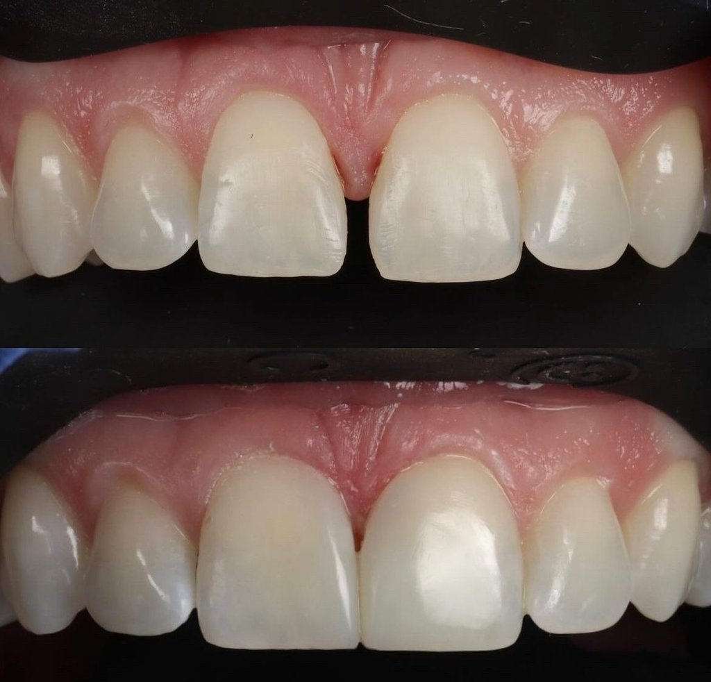
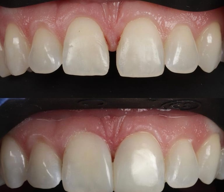
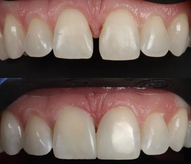
Explore Real cases Transformations
