



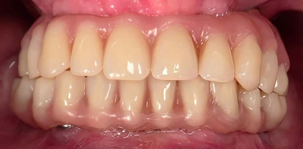
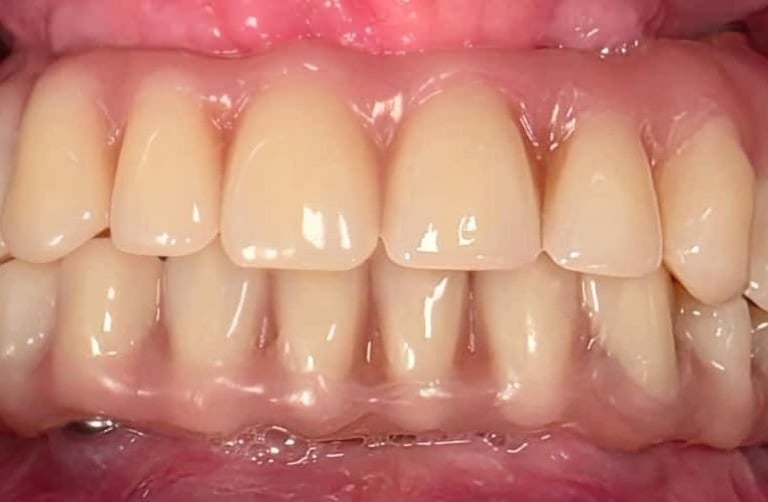
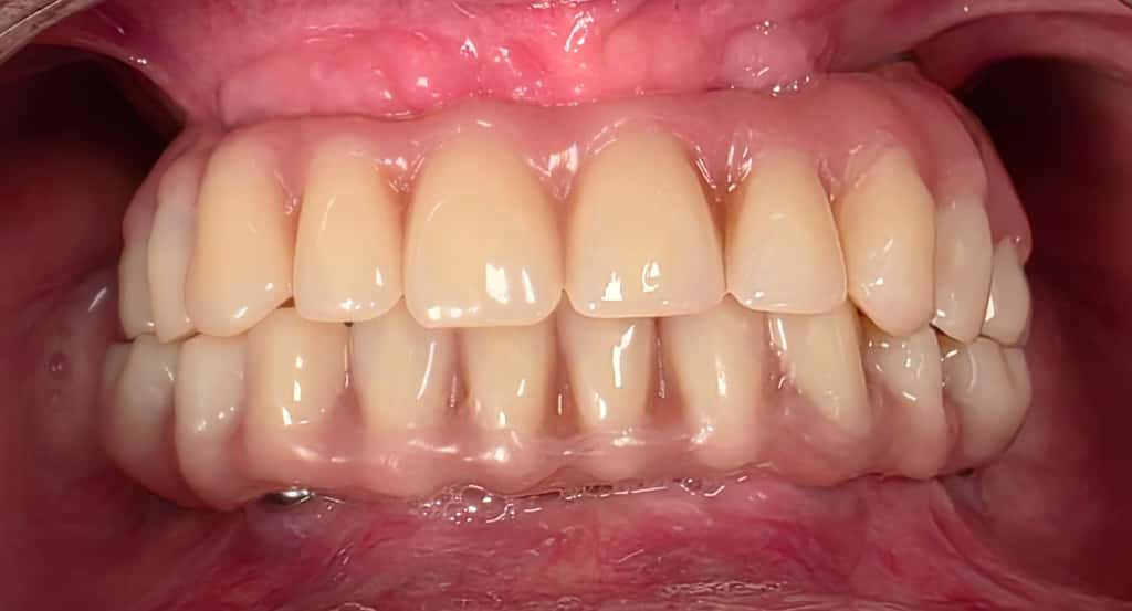
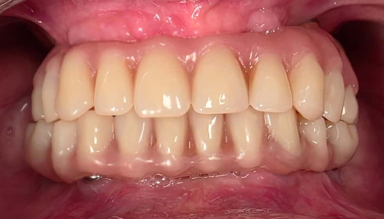
A prosthesis supported by 4 dental implants—often referred to as “All-on-4”—is a modern, effective solution for patients missing most or all teeth in one arch.
This technique uses four strategically placed implants to securely anchor a full-arch prosthesis, providing excellent stability, function, and aesthetics.
Ideal for:
Patients seeking a fixed, long-lasting solution to replace an entire upper or lower set of teeth, who want to regain confidence and function with minimal invasiveness.



